Szkolenia dla stomatologów
Wraz z rosnącym postępem technologicznym i rozwojem technik cyfrowych nasza wiedza w zakresie medycyny poszerza się w niezwykle szybkim tempie. Wymaga to nieustannego rozwoju i reagowania na zmiany. Projekt Tkanki Miękkie to innowacyjne i wieloaspektowe podejście do nauki i praktyki w obszarze współczesnej periodontologii i implantologii stomatologicznej. Oferujemy modułowe, starannie zaplanowane szkolenia dla lekarzy stomatologów, które pozwolą ci szybko wdrożyć do codziennej praktyki nabytą wiedzę i umiejętności.
Dzięki synergicznemu podejściu zapewniamy optymalne wykorzystanie twojego czasu w trakcie kursów. Dzielimy się swoim doświadczeniem, prezentujemy liczne i różnorodne przypadki kliniczne, a także udzielamy wielu cennych wskazówek i porad, które pozwolą ci wykonywać zabiegi chirurgiczne z większą pewnością siebie i unikać powikłań. Dzięki zajęciom praktycznym, obecnym w każdym module, udoskonalisz swój warsztat i zaczniesz myśleć bardziej perioplastycznie. Z tego projektu wyniesiesz realną wiedzę, którą wykorzystasz we własnej praktyce.
Nasza misja
Naszą misją jest rozwijanie kompetencji z wykorzystaniem nauki jako inspiracji. Praktyka kliniczna jest dla nas doskonałą okazją do obserwacji i wyciągania własnych wniosków, które pozwalają nam kształtować indywidualny profil pracy. Reprezentujemy podejście do leczenia, które opiera się na rzetelnej, nowoczesnej i istotnej klinicznie wiedzy oraz planach terapeutycznych skrojonych na potrzeby pacjentów.
Celem Projektu Tkanki Miękkie jest uporządkowanie zagadnień z dziedziny periodontologii i implantologii stomatologicznej. Podczas spotkań chcemy dzielić się z tobą wiedzą i doświadczeniem oraz umożliwić ci doskonalenie umiejętności manualnych w zakresie chirurgii plastycznej jamy ustnej.
W Projekcie Tkanki Miękkie każdy znajdzie dla siebie inspiracje oraz dawkę interaktywnej wiedzy, bez względu na dokonania zawodowe. Wierzymy, że nasze kursy staną się polem do wzajemnej wymiany doświadczeń oraz budowania nowych relacji, które w przyszłości zaowocują ciekawymi pomysłami i współpracą.
Zapraszamy!


Nauczanie i szkolenia
W związku ze stale rosnącą liczbą nowatorskich rozwiązań oraz wyrobów medycznych i biomateriałów dostępnych na rynku, jednym z głównych problemów w praktyce klinicznej staje się wybór metod zapewniających uzyskanie optymalnych i przewidywalnych efektów terapeutycznych. W codziennej pracy ciągłym wyzwaniem jest podejmowanie właściwych i spersonalizowanych decyzji dotyczących planu leczenia każdego pacjenta.
Znajomość dokładnych algorytmów postępowania jest gwarancją przewidywalnej pracy klinicznej. Dobre planowanie to podstawa sukcesu leczniczego i korzyść zarówno dla pacjenta, jak i dla lekarza. Cykl szkoleniowy Projekt Tkanki Miękkie wskaże ci, jak skutecznie i w harmonijny sposób trenować oraz doskonalić swoje umiejętności manualne krok po kroku.
Nasze podejście ułatwia systematyczną naukę dzięki następującym narzędziom edukacyjnym: skrypty i atlasy przedstawiające omawiane techniki chirurgiczne, interaktywny transfer wiedzy w małych grupach, relacje filmowe z zabiegów, ćwiczenia praktyczne na modelach treningowych oraz wymiana doświadczeń z innymi lekarzami.
Cykl edukacyjny
Nasze szkolenia dla stomatologów zawierają serię ośmiu modułów z zakresu periodontologii i implantologii, które zostały zaprojektowane hierarchicznie pod względem treści. Moduły kursu są odpowiednie dla wszystkich lekarzy, którzy chcą zrozumieć tajniki pracy z tkankami miękkimi wokół zębów i implantów, bez względu na doświadczenie kliniczne czy posiadaną specjalizację.
Chcemy zaoferować wszystkim uczestnikom naszego projektu wsparcie w poruszaniu się po współczesnych rozwiązaniach i produktach stosowanych w branży stomatologicznej, a także ułatwić im wdrażanie nabytych informacji i umiejętności w codziennej pracy z pacjentem.


Moduł I
2 dni
Niechirurgiczne leczenie zapaleń przyzębia i podstawy mikrochirurgii
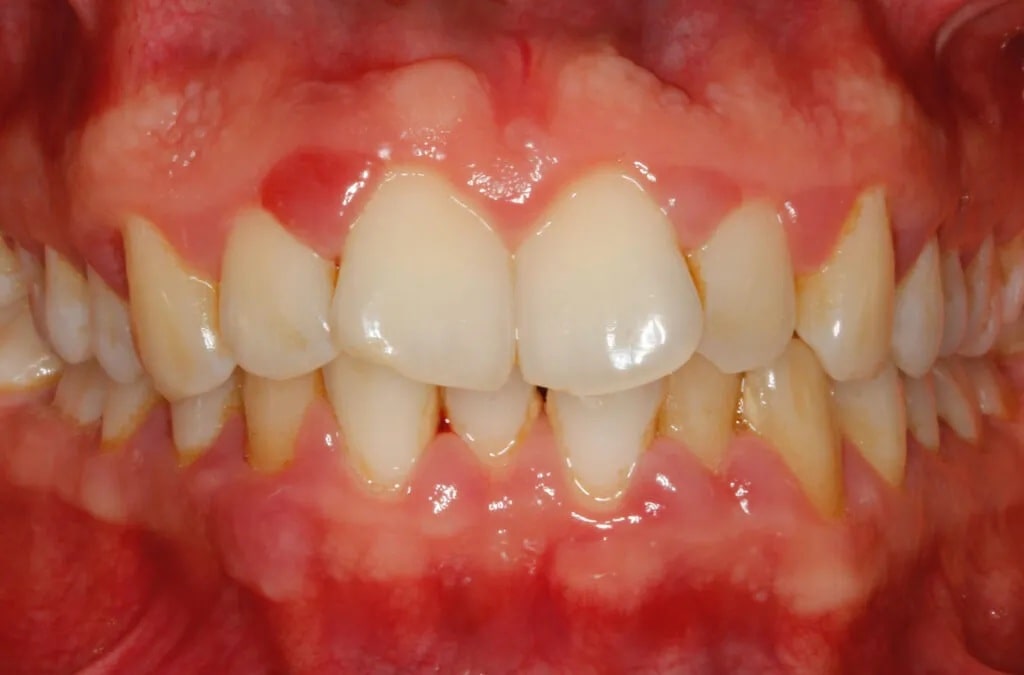
Skuteczne leczenie pacjentów z zapaleniem przyzębia wymaga umiejętnego przeprowadzenia wszystkich etapów leczenia periodontologicznego: od prawidłowej diagnostyki, poprzez leczenie niechirurgiczne i chirurgiczne, aż do fazy podtrzymującej.

Moduł II
3 dni
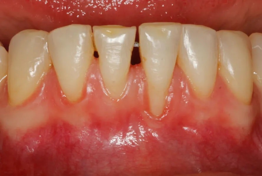
Leczenie plastyczne pojedynczych recesji dziąseł
Dużym wyzwaniem jest leczenie ubytków tkanek miękkich w strefie estetycznej. Aby uzyskać zadowalające rezultaty, poza całkowitym pokryciem recesji należy odtworzyć tkanki o właściwym kolorze i odpowiedniej powierzchni.

Moduł III
3 dni
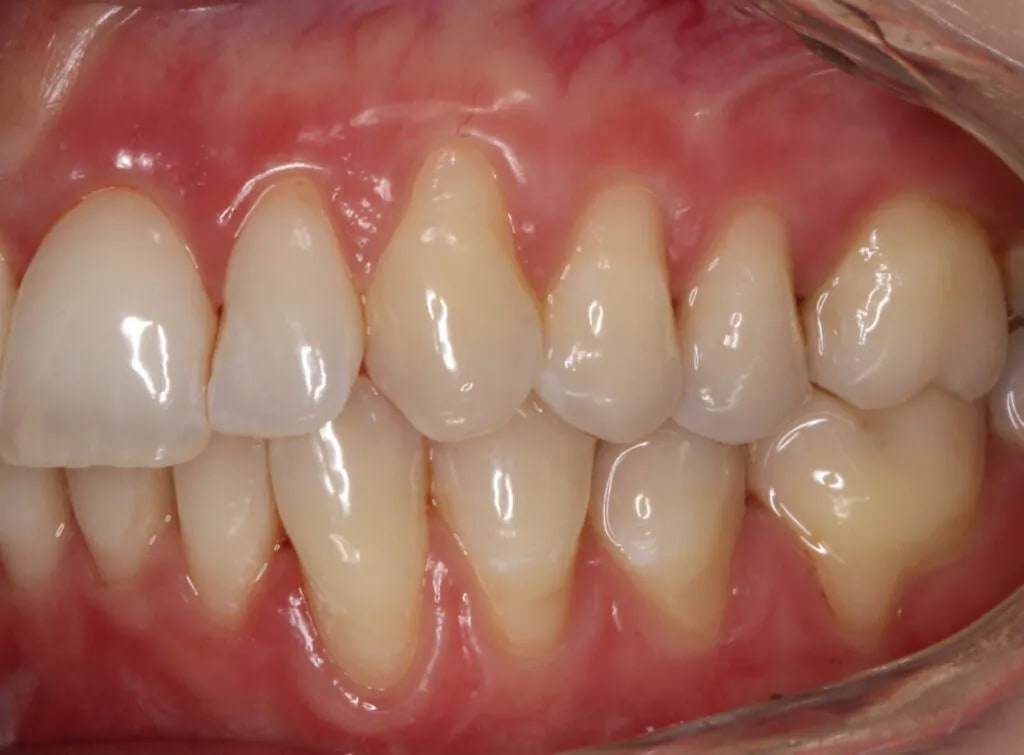
Leczenie plastyczne mnogich recesji dziąseł
Decyzja dotycząca leczenia mnogich recesji dziąseł powinna być poprzedzona wnikliwą analizą każdego przypadku. To niezwykle ważne, ponieważ nie tylko całkowite pokrycie recesji, ale także jakościowe wyniki estetyczne są kluczem do osiągnięcia optymalnych efektów terapii.

Moduł IV
3 dni
Regeneracja tkanek przyzębia
Zabiegi z zakresu periodontologicznej chirurgii regeneracyjnej pozwalają na pełne odtworzenie utraconych w przebiegu zapalenia przyzębia tkanek twardych i miękkich. Tym tym samym poprawiają rokowanie dotyczące zachowania zęba lub zębów.

Moduł V
3 dni
Chirurgiczne wydłużanie koron zębów i periodontologiczna chirurgia resekcyjna
W dobie stomatologii małoinwazyjnej coraz bardziej popularne stają się periodontologiczne zabiegi resekcyjne. Dotyczy to ubytków tkanek twardych przyzębia w obszarach poza strefą estetyczną i w obrębie furkacji zębów wielokorzeniowych, jeśli nie jest możliwa regeneracja utraconych tkanek.

Moduł VI
3 dni
Leczenie implantologiczne w odcinku funkcjonalnym i peri-implantitis
Trudno wyobrazić sobie dziś nowoczesne koncepcje leczenia stomatologicznego bez wykorzystania implantów. Niestety znaczna część pacjentów jest narażona na wystąpienie powikłań biologicznych w postaci peri-implant mucositis i peri-implantitis.

Moduł VII
3 dni
Leczenie implantologiczne w odcinku estetycznym i zaawansowane techniki rekonstrukcyjne
Pozycjonowanie implantów stomatologicznych w strefie estetycznej wciąż stanowi duże wyzwanie w praktyce klinicznej. Lekarz musi rozważyć szeroki zakres różnych koncepcji i technik chirurgicznych, aby dokonać właściwego wyboru i odpowiednio zaplanować leczenie.

Moduł VIII
3 dni
Leczenie kompleksowe, kortykotomia
Kompleksowe leczenie pacjenta z zapaleniem przyzębia może obejmować leczenie implantologiczne, protetyczne oraz ortodontyczne. Moduł VIII jest dedykowany zabiegom chirurgicznym na pograniczu różnych dyscyplin.
W ramach projektu samodzelnie wykonasz następujące procedury:
- pobranie przeszczepu podnabłonkowej tkanki łącznej (SCTG) - dziesięć razy
- pobranie przeszczepu nabłonkowo-łącznotkankowego (FGG) - trzy razy
- technikę pojedynczego płata (SFA) w regeneracji niewielkiego ubytku kości w przyzębiu
- technikę zachowującą brodawkę międzyzębową (EPPT) w leczeniu niewielkiego ubytku kości w przyzębiu w odcinku estetycznym
- technikę ściany tkanki łącznej (CTW) w regeneracji rozległego ubytku kości w przyzębiu w odcinku estetycznym
- dowierzchołkowe przesunięcie płata z osteoplastyką w leczeniu resekcyjnym poziomego ubytku kości w przyzębiu w odcinku bocznym
- chirurgiczne wydłużenie koron klinicznych ze wskazań estetycznych (gingiwektomia, osteoplastyka, osteotomia)
- odtworzenie strefy tkanek skeratynizowanych przy zębach + FGG
- pokrycie pojedynczej recesji techniką płata przesuniętego dokoronowo (CAF) + SCTG
- pokrycie mnogich recesji techniką płata przesuniętego dokoronowo (CAF) + matryca kolagenowa
- pokrycie mnogich recesji techniką tunelową + SCTG
- pokrycie recesji w przypadku braku strefy tkanek skeratynizowanych techniką płata zwertykalizowanego przesuniętego koronowo (V-CAF) + SCTG
- spozycjonowanie czterech różnych implantów na modelach z użyciem szablonów chirurgicznych
- spozycjonowanie implantu typu bone level z augmentacją fenotypu + SCTG
- spozycjonowanie implantu kołnierzowego z augmentacją fenotypu + SCTG
- spozycjonowanie implantu typu bone level z odtworzeniem strefy tkanek skeratynizowanych + FGG
- trójwymiarową rekonstrukcję tkanek miękkich w obszarze bezzębnego wyrostka techniką platformy tkanki łącznej (CTP) + SCTG
- sterowaną regenerację kości (GBR) z błoną kolagenową techniką “sausage”
- kortykotomię
Kalendarz
| EDYCJA VI (brak miejsc) | EDYCJA VII (brak miejsc) | EDYCJA VIII | EDYCJA IX | |
|---|---|---|---|---|
| Moduł I (2 dni) | 4-5.10.2025 | 21-22.02.2026 | 3-4.10.2026 | 20-21.02.2027 |
| Moduł II (3 dni) | 8-10.11.2025 | 22-24.03.2026 | 21-23.11.2026 | 20-22.03.2027 |
| Moduł III (3 dni) | 7-8.12.2025 | 25-27.04.2026 | 12-14.12.2026 | 24-26.04.2027 |
| Moduł IV (3 dni) | 17-19.01.2026 | 23-25.05.2026 | 16-18.01.2027 | 22-24.05.2026 |
| Moduł V (3 dni) | 7-9.02.2026 | 13-15.06.2026 | 6-8.02.2027 | 19-21.06.2027 |
| Moduł VI (3 dni) | 14-16.03.2026 | 19-21.09.2026 | 6-8.03.2027 | 25-27.09.2027 |
| Moduł VII (3 dni) | 11-13.04.2026 | 17-19.10.2026 | 10-12.04.2027 | 23-25.10.2027 |
| Moduł VIII (3 dni) | 9-11.05.2026 | 14-16.11.2026 | 8-10.05.2027 | 20-22.11.2027 |

PTM SUMMER CAMP
To kwintesencja Projektu Tkanki Miękkie. W trakcie czterech tygodni (16 dni roboczych) realizujemy program obejmujący wszystkie moduły Projektu Tkanki Miękkie.
Materiał kursu jest uporządkowany oraz podzielony na cztery części:
- Tydzień I: Periodontologiczna chirurgia plastyczna i leczenie recesji dziąseł
- Tydzień II: Leczenie zapaleń przyzębia i periodontologiczna chirurgia regeneracyjna
- Tydzień III: Leczenie implantologiczne w odcinku funkcjonalnym i w odcinku estetycznym
- Tydzień IV: Leczenie kompleksowe i kortykotomia
| Summer Camp 2026 | |
|---|---|
| Tydzień I | 20-23.06.2026 |
| Tydzień II | 27-30.06.2026 |
| Tydzień III | 29.08-1.09.2026 |
| Tydzień IV | 5-8.09.2026 |
Szczególny nacisk kładziemy na zajęcia praktyczne - warsztaty i sesje interaktywne obejmują ponad 40 godzin szkoleniowych!
PTM Summer Camp jest dedykowany lekarzom, którzy chcą podnieść swoje kompetencje w zakresie periodontologii i implantologii stomatologicznej przy optymalnym wykorzystaniu własnego czasu.
TYDZIEŃ I: Periodontologiczna chirurgia plastyczna i leczenie recesji dziąseł (20-23.06.2026)
Tematy:
- Recesje dziąsłowe: diagnostyka, etiologia i współczesna klasyfikacja.
- Czynniki wpływające na skuteczność leczenia recesji dziąseł.
- Strategie leczenia pojedynczych i mnogich recesji.
- Przedzabiegowe postępowanie z ubytkami tkanek twardych zęba w okolicy przyszyjkowej adhezyjna odbudowa materiałem złożonym.
- Pobieranie i charakterystyka przeszczepów podnabłonkowej tkanki łącznej (SCTG).
- Zastosowanie białek macierzy szkliwa, kwasu hialuronowego i matryc kolagenowych w leczeniu recesji.
- Techniki chirurgiczne w leczeniu recesji: płat przesunięty koronowo (CAF), płat zwertykalizowany przesunięty koronowo (V-CAF) w leczeniu recesji przy dolnych zębach siecznych w przypadku braku strefy tkanek skeratynizowanych, technika tunelowa i jej modyfikacje (MCAT, LCT, TCAF).
- Leczenie recesji w żuchwie w obszarze nerwu bródkowego.
- Selektywne pozycjonowanie przeszczepów podnabłonkowej tkanki łącznej (SCTG) w leczeniu mnogich recesji.
- Pobieranie przeszczepów nabłonkowo-łącznotkankowych (FGG) oraz ich wykorzystanie w odtworzeniu strefy tkanek skeratynizowanych przy zębach.
- Powikłania zabiegów plastycznych, postępowanie.
Zajęcia praktyczne:
- Warsztat I: Szycie mikrochirurgiczne.
- Warsztat II: Odtworzenie strefy tkanek skeratynizowanych przy zębach za pomocą przeszczepu nabłonkowo-łącznotkankowego (FGG).
- Warsztat III: Pokrycie pojedynczej recesji dziąsła techniką płata przesuniętego koronowo (CAF) i przeszczepu podnabłonkowej tkanki łącznej (SCTG).
- Warsztat IV: Pokrycie mnogich recesji dziąseł techniką płata przesuniętego koronowo (CAF) i matrycy kolagenowej.
- Warsztat V: Pokrycie mnogich recesji dziąseł zmodyfikowaną techniką tunelową (MCAT) i przeszczepu podnabłonkowej tkanki łącznej (SCTG).
- Warsztat VI: Pokrycie pojedynczej recesji dziąsła w przypadku braku strefy tkanek skeratynizowanych techniką płata zwertykalizowanego przesuniętego koronowo (V-CAF) i przeszczepu podnabłonkowej tkanki łącznej (SCTG).
TYDZIEŃ II: Leczenie zapaleń przyzębia i periodontologiczna chirurgia regeneracyjna (27-30.06.2026)
Tematy:
- Anatomia tkanek przyzębia i tkanek okołowszczepowych.
- Etiopatogeneza zapaleń przyzębia i peri-implantitis, czynniki prognostyczne i czynniki ryzyka.
- Modele gojenia tkanek przyzębia.
- Diagnostyka kliniczna i radiologiczna przyzębia.
- Współczesna klasyfikacja chorób przyzębia.
- Niechirurgiczne leczenie chorób przyzębia: uzasadnienie, metody, czynniki ograniczające efektywność leczenia niechirurgicznego, farmakoterapia miejscowa i ogólna.
- Czynniki wpływające na skuteczność leczenia regeneracyjnego ubytków kości w przyzębiu.
- Materiały stosowane w periodontologicznej chirurgii regeneracyjnej (przeszczepy, biomateriały, błony zaporowe, czynniki wzrostu).
- Strategie leczenia ubytków kości w przyzębiu.
- Minimalnie inwazyjne techniki chirurgiczne w leczeniu regeneracyjnym pionowych ubytków kości w przyzębiu: technika pojedynczego płata (SFA), technika podwójnego płata (DFA).
- Leczenie ubytków kości w przyzębiu w odcinku estetycznym: technika ściany przeszczepu tkanki łącznej (CTW), technika zachowująca całą brodawkę międzyzębową (EPPT), zabieg oczyszczenia przyzębia po podniesieniu płata (OFD).
- Leczenie poziomych ubytków kości w odcinku bocznym - mikrochirurgiczne postępowanie resekcyjne.
- Zaburzone bierne wyrzynanie zębów: diagnostyka, etiologia, leczenie chirurgiczne.
- Powikłania zabiegów periodontologicznych, postępowanie, omówienie przypadków.
Zajęcia praktyczne:
- Wartsztat I: Technika pojedynczego płata (SFA) i SCTG w leczeniu ograniczonego ubytku śródkostnego.
- Warsztat II: Technika zachowująca brodawkę międzyzębową (EPPT) z przeszczepem podnabłonkowej tkanki łącznej (SCTG) w leczeniu ograniczonego ubytku śródkostnego.
- Warsztat III: Technika ściany tkanki łącznej (CTW) w leczeniu rozległego ubytku śródkostnego w odcinku estetycznym.
- Warsztat IV: Mikrochirurgiczne postępowanie resekcyjne w leczeniu poziomego ubytku kości w przyzębiu w odcinku bocznym.
- Warsztat V: Chirurgiczne wydłużenie koron klinicznych w odcinku estetycznym (gingiwektomia, osteoplastyka, osteotomia).
- Sesja interaktywna - planowanie leczenia pacjentów z zaawansowanymi postaciami zapalenia przyzębia.
TYDZIEŃ III: Leczenie implantologiczne w odcinku funkcjonalnym i w odcinku estetycznym (29.08-1.09.2026)
Tematy:
- Wybór systemu implantologicznego.
- Ocena i znaczenie tkanek miękkich otaczających implanty.
- Planowanie leczenia implantologicznego w oparciu o protokół cyfrowy i szablony chirurgiczne: zasady pozycjonowania wszczepów, wybór śruby zamykającej i śruby gojącej.
- Protokół leczenia implantologicznego w odcinku funkcjonalnym - implantacja późna.
- Wykorzystanie przeszczepów nabłonkowo-łącznotkankowych (FGG) w celu odtworzenia tkanek skeratynizowanych przy implantach.
- Augmentacja tkanek miękkich za pomocą przeszczepów podnabłonkowej tkanki łącznej (SCTG) i matryc kolagenowych w celu zwiększenia ich grubości.
- Aspekty protetyczne warunkujące stabilny remodeling kości przy wszczepie.
- Implantacja natychmiastowa: podstawy biologiczne, postępowanie w odcinku estetycznym w przypadku zachowanych tkanek twardych i miękkich oraz w przypadku defektów tkankowych.
- Implantacja w odcinku estetycznym u pacjenta z chorobą przyzębia: technika platformy tkanki łącznej (CTP) w trójwymiarowej rekonstrukcji tkanek miękkich w obrębie bezzębnego wyrostka.
- Zapalenie okołowszczepowe (peri-implantitis): etiologia, diagnostyka, protokół postępowania i czynniki ograniczające efektywność leczenia.
- Dehiscencje tkanek miękkich przy implantach: etiologia, diagnostyka, protokół postępowania i czynniki ograniczające efektywność leczenia.
Zajęcia praktyczne:
- Warsztat I: Pozycjonowanie implantu z augmentacją tkanek miękkich przeszczepem podnabłonkowej tkanki łącznej (SCTG).
- Warsztat II: Pozycjonowanie implantu z odtworzeniem strefy tkanek skeratynizowanych przeszczepem nabłonkowo-łącznotkankowym (FGG).
- Warsztat III: Pozycjonowanie implantów na modelu z wykorzystaniem szablonu chirurgicznego, wybór śruby zamykającej, modelowanie kości nad platformą implantu, wybór śruby gojącej.
- Warsztat IV: Pozycjonowanie implantów kołnierzowych na modelu, wybór śruby zamykającej, wybór śruby gojącej.
- Warsztat V: Pozycjonowanie implantu kołnierzowego z augmentacją tkanek miękkich przeszczepem podnabłonkowej tkanki łącznej (SCTG).
- Warsztat VI: Technika platformy tkanki łącznej (CTP) w trójwymiarowej rekonstrukcji tkanek miękkich w obszarze bezzębnego wyrostka.
TYDZIEŃ IV: Leczenie kompleksowe i kortykotomia (5-8.09.2026)
Tematy:
- Augmentacja tkanek miękkich przed leczeniem ortodontycznym i po leczeniu ortodontycznym.
- Kortykotomia.
- Leczenie ortodontyczne w terapii kompleksowej: planowanie ruchu zęba, leczenie pacjentów z zapaleniem przyzębia.
- Planowanie uśmiechu we współpracy z lekarzem protetykiem z wykorzystaniem narzędzi cyfrowych.
- Chirurgiczne wydłużanie koron klinicznych zębów ze wskazań protetycznych: przekroczenie szerokości biologicznej, gingiwektomia, osteoplastyka, osteotomia.
- Wykorzystanie stałych prac protetycznych do kształtowania brodawek międzyzębowych i położenia brzegu dziąsła.
- Regeneracja kości: podstawy biologiczne, techniki chirurgiczne i biomateriały, regeneracja kości w obrębie koperty kostnej i poza kopertą.
- Zarządzanie tkankami miękkimi w zabiegach regeneracji kości.
- Leczenie implantologiczne w przypadku recesji, defektów brodawek dziąsłowych i zaburzonego biernego wyrzynania sąsiednich zębów.
- Rekonstrukcja pseudobrodawek dziąsłowych przy implantach.
- Układanie kompleksowych planów leczenia: łączenie zabiegów z zakresu chirurgii plastycznej, regeneracyjnej i implantologii.
Zajęcia praktyczne:
- Warsztat I: Kortykotomia.
- Warsztat II: Sterowana regeneracja kości w wymiarze poziomym techniką „sausage” (GBR).
- Sesje interaktywne - planowanie leczenia kompleksowego w złożonych sytuacjach klinicznych.
Warunkiem uczestniczenia w Kursie “PTM Summer Camp” jest:
- Zgłoszenie swojego uczestnictwa w Kursie poprzez wysłanie wiadomości elektronicznej na adres e-mail Organizatora (projekttkankimiekkie@gmail.com) oraz
- Opłacenie I transzy zaliczkowej na rachunek bankowy wskazany przez Organizatora 05 1140 2004 0000 3102 8239 7585 (mBank), w następujących terminach:
- dla osoby na stażu podyplomowym lekarza dentysty oraz dla osoby w trakcie specjalizacji stomatologicznej - cena Kursu wynosi 41.000,00 (czterdzieści jeden tysięcy) złotych i jest płatna zgodnie z następującą instrukcją: I transza zaliczkowa w wysokości 21.000,00 (dwadzieścia jeden tysięcy) złotych jest płatna w dniu zgłoszenia uczestnictwa w Kursie, II transza w wysokości 20.000,00 (dwadzieścia tysięcy) złotych jest płatna do dnia poprzedzającego rozpoczęcie III tygodnia szkolenia Kursu,
- dla pozostałych osób - cena Kursu wynosi 43.000,00 (czterdzieści trzy tysięcy) złotych za osobę i jest płatna zgodnie z następującą instrukcją: I transza zaliczkowa w wysokości 22.000,00 (dwadzieścia dwa tysięcy) złotych jest płatna w dniu zgłoszenia uczestnictwa w Kursie, II transza w wysokości 21.000,00 (dwadzieścia jeden tysięcy) jest płatna do dnia poprzedzającego rozpoczęcie III tygodnia szkolenia Kursu,
- w razie zapisu dwóch osób jednocześnie - cena Kursu wynosi 42.000,00 (czterdzieści dwa tysięcy) złotych dla każdej z tych osób i jest płatna zgodnie z następującą instrukcją: I transza zaliczkowa w wysokości 21.000,00 (dwadzieścia jeden tysięcy) złotych jest płatna w dniu zgłoszenia uczestnictwa w Kursie, II transza w wysokości 21.000,00 (dwadzieścia jeden tysięcy) jest płatna do dnia poprzedzającego rozpoczęcie III tygodnia szkoelnia Kursu,
oraz e-mailowe potwierdzenie przez Organizatora uczestnictwa w Kursie wysłane na adres skrzynki elektronicznej, z którego dokonano zgłoszenia.
Szkolenia indywidualne
Są to szkolenia w formule 1x1, w trakcie których możemy bardzo dokładnie omówić wybrany temat zarówno od strony teoretycznej, jak i praktycznej. Plan szkolenia jest układany na podstawie wcześniej przesłanego przez kursanta zestawu zagadnień i dostosowany do poziomu jego zaawansowania. Może być to każde zagadnienie z zakresu periodontologii i implantologii, które omawiamy w trakcie Projektu Tkanki Miękkie, ale mogą być to również dodatkowe tematy.
Wybierając opcję szkolenia indywidualnego można ustalić:
- Zakres tematyczny: szkolenie dotyczy ściśle określonego zagadnienia. Lekarz określa swoje oczekiwania i współuczestnicy w tworzeniu programu szkolenia. Materiał zostaje dostosowany do konkretnych potrzeb i oczekiwań uczestnika.
- Czas i miejsce: czas i miejsce przeprowadzenia szkolenia zostają ustalone indywidualnie. Zajęcia mogą mieć miejsce zarówno online, jak i bezpośrednio w gabinecie stomatologicznym.
- Forma szkolenia: szkolenie może mieć formę teoretyczną lub praktyczną. Opcja z udziałem pacjentów umożliwia własnoręczne wykonywanie wcześniej omówionych procedur zabiegowych.
Szkolenia indywidualne pozwalają na lepsze dopasowanie programu zarówno pod względem tematycznym, jak i organizacyjnym, a tym samym zapewniają osiągnięcie jeszcze lepszych efektów. Praktyczne umiejętności mogą być wykorzystane niemal natychmiast.
W przypadku zainteresowania szkoleniami indywidualnymi prosimy o kontakt drogą elektroniczną.

Nasze podejście opiera się na trzech filarach
1
Zrozumienie problemu
Poprzez podejście ukierunkowane na praktykę przekazujemy uczestnikom kursu podstawy teoretyczne umożliwiające dokładne zrozumienie wszystkich omawianych zagadnień.
2
Podejmowanie decyzji
Naszym celem jest, aby w oparciu o zdobytą wiedzę i jasno zdefiniowane kryteria uczestnicy projektu podejmowali świadome decyzje terapeutyczne.
3
Stosowanie umiejętności manualnych w praktyce
Dążymy do tego, aby każdy z uczestników kursu mógł swobodnie wykonywać konkretne zabiegi w codziennej pracy.
Nasz zespół
Bartłomiej Górski
Dr hab. n. med.
Absolwent kierunku lekarsko-dentystycznego na Warszawskim Uniwersytecie Medycznym oraz Zarządzania Zakładami Opieki Zdrowotnej w Szkole Głównej Handlowej. W 2015 roku uzyskał tytuł doktora nauk medycznych w zakresie stomatologii, a w 2016 roku tytuł specjalisty w dziedzinie periodontologia.
Od 2016 roku pracuje w Zakładzie Chorób Błony Śluzowej i Przyzębia Warszawskiego Uniwersytetu Medycznego na stanowisku adiunkta. W 2020 roku uzyskał tytuł specjalisty w dziedzinie chirurgia stomatologiczna, a w 2021 roku tytuł doktora habilitowanego w dziedzinie nauk medycznych i nauk o zdrowiu, w dyscyplinie nauki medyczne. W 2022 roku uzyskał tytuł Master of Science (MSc) na Uniwersytecie w Bolonii. W 2024 ukończył Curriculum Prof. Hürzellera i Dr. Zuhra.
Kierownik kształcenia specjalizacyjnego z periodontologii, opiekun naukowy przewodów doktorskich, wykładowca i prelegent. Autor i współautor ponad 120 publikacji w czasopismach krajowych i międzynarodowych. Członek European Federation of Periodontology (EFP), Polskiego Towarzystwa Periodontologicznego (PTP), European Association for Osseointegration (EAO), European Association of Dental Implantology (EDI) i Ogólnopolskiego Stowarzyszenia Implantologii Stomatologicznej (OSIS). Łączna punktacja IF 104,681, a MEiN 4998.
Zainteresowania kliniczne i badawcze w zakresie periodontologii, chirurgii stomatologicznej i implantologii dotyczą przede wszystkim gojenia ran, diagnostyki mikrobiologicznej i biochemicznych zapaleń przyzębia, regeneracji tkanek twardych i miękkich, minimalnie inwazyjnych technik chirurgicznych oraz oceny nowych biomateriałów. W trakcie ścieżki zawodowej miał okazję uczyć się od najlepszych: Dr Ludwig Björn, Prof. Pierpaolo Cortellini, Prof. Serge Dibart, ZTM Vincent Fehmer, Dr Eli Friedwald, Prof. Marcus Hürzeller, Prof. Joseph Kan, Prof Fouad Khoury, Prof. Thomas Linkevicius, Prof Carlo Monaco, Dr Jose Carlos Martin da Rosa, Prof. Irena Sailer, Prof. Mariano Sanz, Prof. Anton Sculean, Dr Luca De Stavola, Prof. Andreas Stavropoulos, Dr Martina Stefanini, Prof. Leonardo Trombelli, Prof. Istvan Urban, Prof. Alfredo Valencia, Prof. Giovanni Zucchelli, Dr Otto Zuhr. Założyciel grupy edukacyjnej dla lekarzy dentystów na Facebooku Dental Network - Soft Tissues First.
Zapraszam do mojej grupy edukacyjnej:

Przydatne informacje
01
02
03
04
05
06
„Rzeczą ważniejszą od wiedzy jest wyobraźnia”.
Albert Einstein
Opinie o nas
Uczestnicy naszego kursu chętnie dzielą się opiniami. Zobacz, jak oceniają nasz kurs.

Absolwenci
- lek. dent. Miłosz Ambicki, specjalista w zakresie chirurgii stomatologicznej
- lek. dent. Joanna Andrzejak, specjalista periodontolog
- lek. dent. Piotr Bar, specjalista w zakresie chirurgii stomatologicznej
- lek. dent. Adam Buła
- lek. dent. Błażej Cenker
- lek. dent. Joanna Chodkowska, specjalista w zakresie chirurgii stomatologicznej
- lek. dent. Aleksandra Ciesielska, specjalista periodontolog
- lek. dent. Natasza Czajkowska, specjalista w zakresie chirurgii stomatologicznej
- lek. dent. Katarzyna Duda-Maciejczek, specjalista w zakresie chirurgii stomatologicznej
- lek. dent. Paweł Dymkowski, specjalista w zakresie chirurgii stomatologicznej
- lek. dent. Przemysław Ferdzyn
- lek. dent. Patrycja Filipiak
- lek. wet. Alicja Gajosz
- dr n. med. Lidia Gefrerer, specjalista w zakresie chirurgii stomatologicznej
- lek. dent. Jolanta Gilewicz, specjalista chirurgii szczękowo-twarzowej
- lek. dent. Daniel Gola, specjalista periodontolog
- lek. dent. Magdalena Gołębiewska
- lek. dent. Beata Gomółka, specjalista w zakresie chirurgii stomatologicznej
- lek. dent. Piotr Górski, specjalista w zakresie chirurgii stomatologicznej
- lek. dent. Anna Grabowska
- dr n. med. Justyna Grudziąż-Sękowska, specjalista periodontolog i zdrowia publicznego
- lek. dent. Maciej Handzel, specjalista w zakresie chirurgii stomatologicznej
- lek. dent. Ewa Hołda
- lek. dent. Olga Iluk, specjalista periodontolog
- lek. dent. Sylwia Jakubowska
- lek. dent. Amin Jooshany
- lek. dent. Adam Kaczor
- lek. dent. Kamil Kapusta
- lek. dent. Paweł Karpiński
- lek. dent. Olena Khoroshylova, specjalista periodontolog
- lek. dent. Weronika Kluczyńska-Wołkiewicz, specjalista periodontolog
- lek. dent. Katarzyna Kołodziejczak, specjalista periodontolog
- lek. dent. Aneta Konopelska, specjalista periodontolog
- lek. dent. Julita Koper, specjalista periodontolog
- lek. dent. Agata Korc
- lek. dent. Damian Korczyński, specjalista periodontolog
- lek. dent. Michał Kowalski
- dr n. med. Irena Kozak, specjalista periodontolog
- lek. dent. Zofia Krawczyk, specjalista w zakresie chirurgii stomatologiczne
- lek. dent. Antoni Krężel, w trakcie specjalizacji z periodontologii
- lek. dent. Maciej Kubiński, specjalista w zakresie stomatologii zachowawczej z endodoncją i chirurgii stomatologicznej
- dr n. med. Katarzyna Łysiak-Drwal, specjalista w zakresie chirurgii stomatologicznej
- dr hab. n. med. Monika Machoy, specjalista w zakresie ortodoncji
- lek. dent. Mikał Makuch
- lek. dent. Artur Mallotki, specjalista periodontolog
- lek. dent. Jakub Michalski
- lek. dent. Jakub Misiaszek, specjalista periodontolog
- lek. dent. Nela Molga-Chlipała
- dr n. med. Agata Orzechowska, specjalista periodontolog
- lek. dent. Anna Papierska, specjalista periodontolog
- lek. dent. Oskar Pieniak
- lek. dent. Patryk Pieróg
- lek. dent. Katarzyna Piwowarska, specjalista periodontolog
- lek. dent. Klaudia Podlińska, specjalista w zakresie chirurgii stomatologicznej
- lek. dent. Kristina Popova
- dr n. med. Rafał Rój, specjalista w zakresie protetyki i chirurgii stomatologicznej
- lek. dent. Paweł Sieradzki
- lek. dent. Joanna Siniarska, w trakcie specjalizacji z periodontologii
- lek. dent. Małgorzata Skałbania, specjalista periodontolog
- lek. dent. Anna Staszewska, specjalista periodontolog
- lek. dent. Zofia Szepietowska, specjalista periodontolog
- lek. dent. Mariusz Śmietana, specjalista periodontolog
- lek. dent. Marcin Środa
- lek. dent. Karol Święch, specjalista w zakresie chirurgii stomatologicznej
- lek. dent. Joanna Ucieklak, specjalista w zakresie chirurgii stomatologicznej
- lek. dent. Mariola Urbańczyk, specjalista periodontolog
- lek. dent. Bartłomiej Woryński
- lek. dent. Artur Wawer
- lek. dent. Artur Wyczółkowski, w trakcie specjalizacji z chirurgii stomatologicznej
- dr n. med. Beata Wyrębek, w trakcie specjalizacji z periodontologii
- lek. dent. Małgorzata Wyszyńska-Pomian, specjalista periodontolog
- dr n. med. Katarzyna Zarzycka-Kogut
- lek. dent. Dominika Zawadka, specjalista w zakresie chirurgii stomatologicznej
- lek. dent. Fryderyk Zieliński
- lek. dent. Justyna Zioło

PTM Study Club
Organizujemy regularne spotkania, które odbywają się cztery razy w roku. PTM Study Club to platforma, dzięki której nasi absolwenci mogą wymieniać się wiedzą, dzielić doświadczeniem, a przede wszystkim budować wartościowe relacje. Naszym celem jest umożliwienie wysoko wykwalifikowanym kolegom bycie na bieżąco z najnowszymi trendami i pionierskimi osiągnięciami w dziedzinie stomatologii.








